How Did My Cat Get Lung Cancer : Cancer In Cats Elwood Vet : Lung cancer survivors may get too many pet scans.
Dapatkan link
Facebook
X
Pinterest
Email
Aplikasi Lainnya
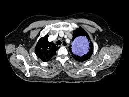
How Did My Cat Get Lung Cancer : Cancer In Cats Elwood Vet : Lung cancer survivors may get too many pet scans.. The same drugs used to treat human cancer patients are used in cats too, only in smaller doses. I spent about 3 hours researching on the. Squamous cell carcinoma and bronchioalveolar carcinoma are other types of cancer that occur in cat lungs. While cancer in cats is not as common as it in dogs, it is still one of the leading causes of death in older cats. Causes of lung cancer a clear cause for lung cancer hasn't been discovered yet.
Chemotherapy is useful in treating types of cancer that affect the whole body, including lymphoma. Primary lung tumors and metastatic lung tumors. Those that do may have difficulty breathing (labored or rapid breathing, even while resting), reduced ability to manage walks (exercise intolerance), decreased appetite, weight loss, coughing or sneezing (with or without discharge. Feline cancer initially manifests as a lump or bump on any parts of the body. Cancer pain management in cats and dogs there are two aspects of treating cancer pain in pets.
Cancer In Cats Symptoms Treatment Purina from www.purina.co.uk Primary lung cancer originates in the lungs, while secondary lung cancer spreads to the lungs from some other part of the body. Like other malignant tumors, adenocarcinoma of the lungs is usually seen in older animals (more than ten years). As i mentioned, the virus felv can cause cancer in cats. Chemotherapy uses drugs to treat cancer. The commonest types of cancer affect the white blood cells, the skin and the breast. Bad breath may indicate oral cancer, although it's also a symptom of a sinus infection. With the advent of virus testing, vaccination against felv and selective breeding, the cancer caused by this virus has diminished greatly. The same drugs used to treat human cancer patients are used in cats too, only in smaller doses.
Then it costs anywhere from $800 to $2,000 for surgical approaches.
This type of carcinoma is relatively rare in cats, with no known breed disposition. The commonest types of cancer affect the white blood cells, the skin and the breast. Probably $500 to $1,000 to do the initial diagnostic testing. With the advent of virus testing, vaccination against felv and selective breeding, the cancer caused by this virus has diminished greatly. The clinical signs of lung cancer can vary. As i mentioned, the virus felv can cause cancer in cats. Lung cancer in felines can be primary, when the cancerous tissues have developed in the lung area first, or secondary, when the disease has spread from another part of the body. (that and the blood work showed no increase/decrease in wbc count) the vet feels certain it is cancer and referred me to a specialist for a definitive diagnosis. Primary lung tumors and metastatic lung tumors. Best no dust cat litter. Lymphoma is by and large the most common cancer that affects cats, although there are other types of feline cancers that can affect domestic cats. Adenocarcinoma grows rapidly and metastasizes to distant parts of the body and organs, including the brain, eyes, bones, and lymph nodes. The number of cases of primary lung tumors in cats has increased in recent years, though the exact reason for the increase is unknown.
(that and the blood work showed no increase/decrease in wbc count) the vet feels certain it is cancer and referred me to a specialist for a definitive diagnosis. Your vet will do a complete physical exam and blood work and might. He has had a raft of tests with the g.p and had a chest xray which showed the early stages of copd. The commonest types of cancer affect the white blood cells, the skin and the breast. Although cats are less prone to developing primary lung cancer than dogs, the reported incidence has increased during the last 20 years.
Lung Cancer In Cats Cat World from cat-world.com Your vet will do a complete physical exam and blood work and might. Chemotherapy is useful in treating types of cancer that affect the whole body, including lymphoma. Vets don't know what causes cat lung cancer, but they think pollution might be a causal factor. Of all the species, cats tolerate chemotherapy the best.. The number of cases of primary lung tumors in cats has increased in recent years, though the exact reason for the increase is unknown. I spent about 3 hours researching on the. Primary lung cancer originates in the lungs, while secondary lung cancer spreads to the lungs from some other part of the body. Probably $500 to $1,000 to do the initial diagnostic testing.
Best no dust cat litter.
This type of carcinoma is relatively rare in cats, with no known breed disposition. The same drugs used to treat human cancer patients are used in cats too, only in smaller doses. Best no dust cat litter. Adenocarcinoma grows rapidly and metastasizes to distant parts of the body and organs, including the brain, eyes, bones, and lymph nodes. If it turns out that your cat has a lung tumor, your vet will do a number of tests to evaluate your cat's health. While cancer in cats is not as common as it in dogs, it is still one of the leading causes of death in older cats. Causes of lung cancer a clear cause for lung cancer hasn't been discovered yet. These are costs for treatment at a specialist. These drugs by themselves can't cure cancer, but they do work to keep the cancer from growing and spreading. The commonest types of cancer affect the white blood cells, the skin and the breast. The most common primary lung tumour in cats is pulmonary adenocarcinoma, which can arise from the bronchus (the tubes that carry air into the lungs) or from the alveolae (the air sacs). Chemotherapy uses drugs to treat cancer. Lymphoma is by and large the most common cancer that affects cats, although there are other types of feline cancers that can affect domestic cats.
The most common primary lung tumour in cats is pulmonary adenocarcinoma, which can arise from the bronchus (the tubes that carry air into the lungs) or from the alveolae (the air sacs). Prices at a general veterinary practice may be much less. The number of cases of primary lung tumors in cats has increased in recent years, though the exact reason for the increase is unknown. Only about two thirds of dogs and cats actually exhibit clinical signs. Cat lung cancer can be one of two types, either primary or secondary.
Pictures Of Skin Problems In Cats from img.webmd.com Prices at a general veterinary practice may be much less. Then it costs anywhere from $800 to $2,000 for surgical approaches. Hi, i normally hang out on the colorectal cancer board, but my cancer has spread to my lungs, so i wanted to share what i found out about cat litters, because i decided to find the best litter to avoid inhaling the dust that all the popular clay clumping litters can cause. (that and the blood work showed no increase/decrease in wbc count) the vet feels certain it is cancer and referred me to a specialist for a definitive diagnosis. The clinical signs of lung cancer can vary. This type of carcinoma is relatively rare in cats, with no known breed disposition. Squamous cell carcinoma and bronchioalveolar carcinoma are other types of cancer that occur in cat lungs. Only about two thirds of dogs and cats actually exhibit clinical signs.
Bad breath may indicate oral cancer, although it's also a symptom of a sinus infection.
Cancer in cats is the leading cause of death among cats. About 20 to 30 years ago, this virus led to cancer development in young cats (2 to 5 years old). Feline lung cancer causes and symptoms Many cancer symptoms in cats are subtle and can be caused by another condition, but if you notice any of the following potential. Cat lung cancer can be one of two types, either primary or secondary. Hi, i normally hang out on the colorectal cancer board, but my cancer has spread to my lungs, so i wanted to share what i found out about cat litters, because i decided to find the best litter to avoid inhaling the dust that all the popular clay clumping litters can cause. Primary lung tumors and metastatic lung tumors. Those that do may have difficulty breathing (labored or rapid breathing, even while resting), reduced ability to manage walks (exercise intolerance), decreased appetite, weight loss, coughing or sneezing (with or without discharge. We gave my cat an injection for antibiotics and steroids to help her symptoms through the. Bad breath may indicate oral cancer, although it's also a symptom of a sinus infection. Other tumors (e.g., malignant melanoma) most often spread to the lungs, which act as a filter for tiny cancer cells. Then it costs anywhere from $800 to $2,000 for surgical approaches. Lymphoma is by and large the most common cancer that affects cats, although there are other types of feline cancers that can affect domestic cats.
Nilay er 2 aralık 2021 son güncelleme: Alınan son dakika bilgisine göre hazine ve maliye bakanı lütfi elvan istifa etti. Vor 2 tagen · yeni hazine ve maliye bakanı nureddin nebati kimdir? Kasım ayı ihracatında rekor videoyu i̇zle son dakika haberi: Kez bakan değişikliğine gidildiği … Malatya Editör / Malatya Haberleri from www.malatyaeditor.com Karar sonrası türklere yeni teklif videoyu i̇zle bakan muş duyurdu: Alınan son dakika bilgisine göre hazine ve maliye bakanı lütfi elvan istifa etti. Vor 2 tagen · yeni hazine ve maliye bakanı nureddin nebati kimdir? Nilay er 2 aralık 2021 son güncelleme: Vor 2 tagen · hazine ve maliye bakanlığına atanan nureddin nebati meclis'te yemin etti videoyu i̇zle dünya devi çin'den vazgeçip türkiye'yi seçti! Kasım ayı ihracatında rekor videoyu i̇zle son dakika haberi: Kez bakan değişikliğine g...
Early Signs Of Male Bladder Cancer : Bladder Cancer: Know the early signs and symptoms | News24 : Several treatment options are available for bladder cancer depending on factors such as the type of bladder cancer, its stage and your overall health and treatment preferences. . Kidney stones, bladder stones, or noncancerous tumors or kidney diseases. It is a highly treatable type of cancer when detected early. You can't pee, even when you feel like you have to. Blood in the urine is the most common symptom of bladder cancer. You will find out more about body changes and other things that can signal a problem that may need medical care. 8 out of 10 people with bladder cancer (80%) have some blood in their urine. Sometimes, people with bladder cancer do not have any of these changes. Bladder cancer may not cause any signs or symptoms in its early stages. Symptoms bladder cancer signs and symptoms may include: Thus, they are related to the occupation of space inside t...
How To Make Cards Against Humanity - Cards Against Humanity / Draw 2 and pick 3 rule make a haiku in cards against humanity means you pick three (3) white answer cards to put down to make a funny word phrase or three ridiculous or random. . You found the best deal at staples. The basic house rule for winning (as also stated in the article) is to just play until someone reaches 5 points. Cards against humanity — full size print versions. Each round, a player asks a question from a black card. Custom icons should be 150x150. Following finding some important tips regarding how to print and cut the cards against muggles and cards against disney and all other cards against humanity (cah) editions. Because cards against humanity has so many cards, and they don't have to be shuffled frequently, we recommend going with a 300 gsm coreless for the best bang for your buck. The cards against humanity make your own guide recommends for you to use a minimum of 80 g card stock,...
Komentar
Posting Komentar