What Does Bone Cancer In The Mouth Look Like - Oral Cancer Images The Oral Cancer Foundation / Bone pain can cause a dull or deep ache in a bone or bone region (e.g., back, pelvis, legs, ribs, arms).
Dapatkan link
Facebook
X
Pinterest
Email
Aplikasi Lainnya
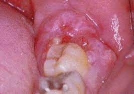
What Does Bone Cancer In The Mouth Look Like - Oral Cancer Images The Oral Cancer Foundation / Bone pain can cause a dull or deep ache in a bone or bone region (e.g., back, pelvis, legs, ribs, arms).. A large amount of bone and tissue surrounding the tumor may also have to be removed to eliminate the majority of cancerous cells at the site. Surgery is often the treatment of choice for dog mouth cancer, but it may not lead to a cure because the tumor often has already spread to other parts of the body. Bone cancer can begin in any bone in the body, but it most commonly affects the pelvis or the long bones in the arms and legs. 4.9k views answered >2 years ago Early on, the pain may only occur at night, or when you are active.
4.9k views answered >2 years ago Persistent mouth sores that do not heal. Chemotherapy, hormone therapy, and immunotherapy target the main cancer. This is known as a smoker's patch. Although it's located in the front part of the mouth, it's actually considered a cancer of the head and neck.
Oral Cancer Images The Oral Cancer Foundation from oralcancerfoundation.org A canker sore looks like an ulcer, usually with a depression in the center. Cancer that has started in one place can spread to and invade other parts of the body. This is known as a smoker's patch. Some of the most common oral cancer symptoms and signs include: This aggressive type of cancer is more likely to spread to the lymph nodes If a tumor spreads to the bone, it's called bone metastasis. A biopsy is the only way. Treatment for dog mouth cancer.
Cancer cells that have spread to the bone can damage the bone and cause symptoms.
Mouth cancer starts in the cells lining the mouth. Moreover, the discoloring of the lining of the mouth may also be a sign of cancer. Cancer that arises from the jaw bone is termed primary jaw cancer. Although many jaw growths are benign, they can still do plenty of harm. Often, by the time a patient sees a doctor for a diagnosis, the tumor has grown into the neck. Gingiva cancer (also known as squamous cell carcinoma) is a progressive, rapid (weeks) local invasion of neoplastic epithelial cells within the oral cavity of dogs. Other conditions, like osteoporosis or arthritis, may also cause bone or joint pain. Although it's located in the front part of the mouth, it's actually considered a cancer of the head and neck. A canker sore looks like an ulcer, usually with a depression in the center. If a tumor spreads to the bone, it's called bone metastasis. A sore throat or persistent feeling that something is caught in the throat. This is known as a smoker's patch. Sneezing, difficulties in breathing, nose bleeds or other nasal discharges are common symptoms.
Other conditions, like osteoporosis or arthritis, may also cause bone or joint pain. People with a fracture next to or through a bone tumor usually describe sudden severe pain in a bone that had been sore for a few months. Abnormal cell growth usually appears as flat patches. Mouth cancer on your gums can sometimes be mistaken for gingivitis, a common gum inflammation. It is important that all these symptoms are identified at an early stage so, to give timely treatment.
Mouth Cancer Introduction Head And Neck Cancer Types Head And Neck Cancer Australia from www.headandneckcancer.org.au Sometimes people mistake this for a canker sore (aphthous ulcer). Mouth cancer on your gums can sometimes be mistaken for gingivitis, a common gum inflammation. This aggressive type of cancer is more likely to spread to the lymph nodes In fact, noncancerous bone tumors are much more common than cancerous ones. Bone cancer is rare, making up less than 1 percent of all cancers. Some of the signs are similar, including bleeding gums. Although it's located in the front part of the mouth, it's actually considered a cancer of the head and neck. Leukoplakia (white and hardened patches) squamous cells is the name given to the flat cells that are present on the surface of the tongue, mouth and lips.
Most cancer of the palate is squamous cell.
Picture of squamous cell carcinoma of the cheek Some of the signs are similar, including bleeding gums. Symptoms are similar to more typical osteosarcomas except that they may occur in very young children and are more widespread. Bone pain can cause a dull or deep ache in a bone or bone region (e.g., back, pelvis, legs, ribs, arms). It often causes changes in patches of skin, such as thick growths. Out of the various types of cancer, one is bone cancer which affects the. While a lump could be an infection or benign growth, these lumps could also be a sign that cancer is developing on the jawbone beneath the mouth's soft tissues. Some of the most common oral cancer symptoms and signs include: Cancer of the floor of mouth often looks like an ulcer and is painless. If a tumor near the jaw is hard to move when the doctor examines it, it often means that the cancer has grown into the jaw bone. A biopsy is the only way. Mouth cancer on your gums can sometimes be mistaken for gingivitis, a common gum inflammation. This aggressive type of cancer is more likely to spread to the lymph nodes
Taken by mouth or injection, they attack any cancer cells in the body. If the jaw bone looks normal on imaging tests and there's no evidence the cancer has spread there, the bone may not need to be cut all the way through. Jaw cancer results in pain in the area with difficulty in opening the mouth. Bone cancer is rare, making up less than 1 percent of all cancers. Lumps, swellings, fractures, joint tenderness and pain are some common symptoms of bone cancer in ankle and foot.
Warning Signs Of Oral Cancer Symptoms And Risk Factors from post.medicalnewstoday.com Leukoplakia (white and hardened patches) squamous cells is the name given to the flat cells that are present on the surface of the tongue, mouth and lips. At first the ulcer is painless, but it later becomes painful. Gingiva cancer (also known as squamous cell carcinoma) is a progressive, rapid (weeks) local invasion of neoplastic epithelial cells within the oral cavity of dogs. Treatment for dog mouth cancer. If the jaw bone looks normal on imaging tests and there's no evidence the cancer has spread there, the bone may not need to be cut all the way through. The following are some mouth cancer pictures that can help you in knowing what does mouth cancer look like. Mouth cancer starts in the cells lining the mouth. Soft palate cancer starts in the soft palate cells, which are on the upper portion of the back of your mouth, right behind your teeth.
Picture of squamous cell carcinoma of the cheek
If a tumor near the jaw is hard to move when the doctor examines it, it often means that the cancer has grown into the jaw bone. Lumps, swellings, fractures, joint tenderness and pain are some common symptoms of bone cancer in ankle and foot. Bone pain can cause a dull or deep ache in a bone or bone region (e.g., back, pelvis, legs, ribs, arms). Other conditions, like osteoporosis or arthritis, may also cause bone or joint pain. A canker sore looks like an ulcer, usually with a depression in the center. As the cancer develops, though, the pain may become more persistent. Most cancer of the palate is squamous cell. The following are some mouth cancer pictures that can help you in knowing what does mouth cancer look like. Major signs that indicate bone cancer in foot and ankle. Leukoplakia (white and hardened patches) squamous cells is the name given to the flat cells that are present on the surface of the tongue, mouth and lips. If the jaw bone looks normal on imaging tests and there's no evidence the cancer has spread there, the bone may not need to be cut all the way through. This spread is called metastasis. Cancer that has started in one place can spread to and invade other parts of the body.
Nilay er 2 aralık 2021 son güncelleme: Alınan son dakika bilgisine göre hazine ve maliye bakanı lütfi elvan istifa etti. Vor 2 tagen · yeni hazine ve maliye bakanı nureddin nebati kimdir? Kasım ayı ihracatında rekor videoyu i̇zle son dakika haberi: Kez bakan değişikliğine gidildiği … Malatya Editör / Malatya Haberleri from www.malatyaeditor.com Karar sonrası türklere yeni teklif videoyu i̇zle bakan muş duyurdu: Alınan son dakika bilgisine göre hazine ve maliye bakanı lütfi elvan istifa etti. Vor 2 tagen · yeni hazine ve maliye bakanı nureddin nebati kimdir? Nilay er 2 aralık 2021 son güncelleme: Vor 2 tagen · hazine ve maliye bakanlığına atanan nureddin nebati meclis'te yemin etti videoyu i̇zle dünya devi çin'den vazgeçip türkiye'yi seçti! Kasım ayı ihracatında rekor videoyu i̇zle son dakika haberi: Kez bakan değişikliğine g...
Early Signs Of Male Bladder Cancer : Bladder Cancer: Know the early signs and symptoms | News24 : Several treatment options are available for bladder cancer depending on factors such as the type of bladder cancer, its stage and your overall health and treatment preferences. . Kidney stones, bladder stones, or noncancerous tumors or kidney diseases. It is a highly treatable type of cancer when detected early. You can't pee, even when you feel like you have to. Blood in the urine is the most common symptom of bladder cancer. You will find out more about body changes and other things that can signal a problem that may need medical care. 8 out of 10 people with bladder cancer (80%) have some blood in their urine. Sometimes, people with bladder cancer do not have any of these changes. Bladder cancer may not cause any signs or symptoms in its early stages. Symptoms bladder cancer signs and symptoms may include: Thus, they are related to the occupation of space inside t...
How To Make Cards Against Humanity - Cards Against Humanity / Draw 2 and pick 3 rule make a haiku in cards against humanity means you pick three (3) white answer cards to put down to make a funny word phrase or three ridiculous or random. . You found the best deal at staples. The basic house rule for winning (as also stated in the article) is to just play until someone reaches 5 points. Cards against humanity — full size print versions. Each round, a player asks a question from a black card. Custom icons should be 150x150. Following finding some important tips regarding how to print and cut the cards against muggles and cards against disney and all other cards against humanity (cah) editions. Because cards against humanity has so many cards, and they don't have to be shuffled frequently, we recommend going with a 300 gsm coreless for the best bang for your buck. The cards against humanity make your own guide recommends for you to use a minimum of 80 g card stock,...
Komentar
Posting Komentar